It wouldn’t be wrong to say that the human body is one of God’s most perfect creations. Its complex mechanisms, which seem superficially simple, have been puzzling scientists for decades now.
The fact that even the most simplest of tasks that we do, something as basic as picking up a glass of water, involves a complicated procedure that involves more than one organ, and a unique combination of different processes, makes you marvel at the uniqueness of this creation. Not only does our body strive to protect itself and by that logic, us, from the threats present in the environment such as contaminants, disease-carrying germs, but it also works to repair and rejuvenate itself.
Our body is such a complex machine and yet, we don’t appreciate it enough. To remedy this, we have decided to give our readers at StyleCraze, a rare peek at the inner workings of the human body by showing them a few very surprising photos of the human body. Take a look.
1. An X-Ray Of A Hand With Six Fingers

Source: Wikipedia Commons
You might know that popular Indian actor Hrithik Roshan was born with an extra thumb. Let us remind you that it is not one of those instances where tabloids print some news without any founding in reality. He does have an extra thumb, and this condition is as real as it gets. This condition is called polydactyly. It’s a biological anomaly in which a child is born with more than the usual number of fingers and toes (1). The picture given above is an instance of this phenomenon.
2. This Is How Your Brain Looks In An MRI

Source: Wikipedia Commons
We know you might have the impression that your brain resembles a walnut in terms of its shape and texture. But we are here to tell you that that’s not the complete truth.
While that image is used as a ready reference in textbooks and popular depictions, the image given above is what your doctor or medical students actually look at, when they study the most enigmatic of all human organs.
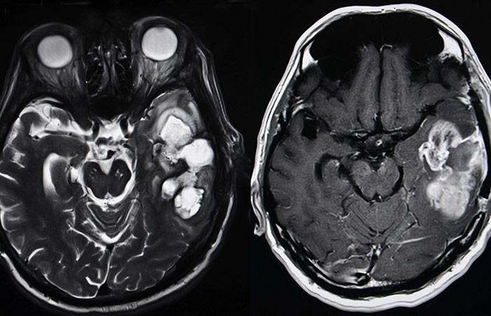
3. And This Is What A Brain Tumor Looks Like
Whenever we hear someone being afflicted with conditions such as brain hemorrhage or a brain tumor, we don’t actually know what exactly is happening to their body or that particular organ. A tumor is a condition in which the cells of our body keep multiplying, even though the body doesn’t need new ones. However, our brain is enclosed by our skull, where the space is very limited so a tumor puts extra pressure on the brain (2).
4. No, It’s Not Some Creature, It’s Actually The Inside Of A Human Mouth
One of the ways by which new parents are able to discern the growth of their young one is by constantly keeping a hawk-like watch on whether or not they reach their milestones. One of those milestones is them getting their teeth. Now, as you all would know that we first get, what is known as milk teeth, and then as we age, our permanent teeth start to come in (3).
A lot of us are under the impression that the new teeth grow in a similar fashion as a plant, with seed sprouting to become a full-fledged plant. But here we are, telling you that your permanent teeth were always there, hiding behind your milk-teeth, waiting for their turn (4).
5. An Inside Peek At The Miracle Of Life

Source: Wikipedia Commons
We have all seen an expectant mother at some point in our lives, and some of us have been lucky to experience this amazing journey ourselves. But apart from looking at barely discernible ultrasounds and creative visualizations, we pretty much don’t have any other source to see what that experience actually is like.
However, the short video given above shows an expecting mother at 37 weeks of the gestational period. It makes you fully appreciate the pains that a woman’s body endures to create a life. Coincidentally, such an image is pretty rare because it’s not advisable for pregnant women to go through such tests as they are considered pretty invasive (4). However, in the case of the woman who is shown in the video given above, it was imperative to do such a test as she had been in a car accident. Miraculously, the tests showed no traumatic injury to both, the mother and the baby.
6. This Is How An Actual Heart Beats

Source: Wikipedia Commons
Forget what T.V and popular culture have taught you, the actual human heart isn’t even close to its popular depiction.
The most critical of all the organs, the human heart performs the function of pumping blood to all parts of our body, and essentially keeping us alive. And no, the palpitations that you feel when you are tensed or excited aren’t exactly your heart’s response to a foreign stimulus but rather it’s your brain that is making your heart beat faster. Interesting, right?
We hope these images made you appreciate the miracle that is your body and motivated you to pay more attention to it. Do you know of any other unknown or strange facts about the human body? Share them with us in the comments section.
The post 6 Unexpected Photos Of The Human Body We Don’t See Every Day appeared first on STYLECRAZE.

